За първи път въобще лекари извършиха мозъчна операция на плод в майчината утроба
За пръв път хирурзи успешно се справиха с голяма малформация в мозъка на плод.
Ръководени от ултразвук, хирурзите от детската болница в Бостън и болницата BWH (Brigham and Women's Hospital ) в САЩ са използвали хирургична техника, наречена емболизация, за лечение на рядко срещано пренатално състояние. В случая става дума за малформация на вената на Гален - съдова аномалия, която позволява на кръвта да тече опасно бързо през част от мозъка след раждането на детето. Успехът на процедурата дава нова надежда за лечение на състоянието, преди рискът от усложнения да се увеличи.
Въпреки че това е едва първият пациент, лекуван по този начин, процедурата, изглежда, е била изключително успешна.
"В текущото ни клинично изпитване използваме трансутеринна емболизация под ултразвуков контрол, за да се справим с малформацията на вената на Гален преди раждането. И в този третиран от нас първи случай сме особен развълнувани да видим, че агресивният спад, който обикновено се наблюдава след раждането, просто не се появи", казва Дарън Орбах, невроинтервенционален радиолог от Бостънската детска болница и Харвардското медицинско училище.
"Имаме удоволствието да съобщим, че шест седмици по-късно бебето се развива изключително добре, не приема никакви лекарства, храни се нормално, наддава на тегло и се върна у дома. Няма признаци за каквито и да било отрицателни ефекти върху мозъка."
Малформацията на вената на Гален засяга около 1 на 60 000 бебета и представлява рядък вид съдова аномалия в мозъка, която кара артериите да се свързват директно с вените, а не с капилярите, които иначе биха контролирали потока на кръвта. Това означава, че притокът на кръв във вените е много по-висок, отколкото е безопасно, което води до редица вредни последици.
Състоянието натоварва значително сърдечносъдовата система, което може да доведе до сърдечна недостатъчност. То може да причини хипертония в артериите на белите дробове и сърцето. А поради допълнителното налягане в мозъка може да причини значителни мозъчни увреждания, които да доведат до неврологични и когнитивни нарушения. Освен това има висок процент на смъртност.
Обикновено се лекува след раждането с емболизация - техника, при която хирурзите поставят специализиран материал във вената, за да я блокират, като например съсирващо вещество, което помага на кръвта да се съсири и по този начин предотвратява изтичането на кръв.
Но състоянието може бързо да се промени към по-лошо след раждането. Ниското съпротивление на плацентата помага за регулиране на кръвния поток и кръвното налягане, като дава на плода известна защита, която той губи, когато се роди. Скоро след раждането малък кръвоносен съд, който свързва белодробна артерия с аортата, се затваря, което също повишава налягането в артериите на белите дробове.
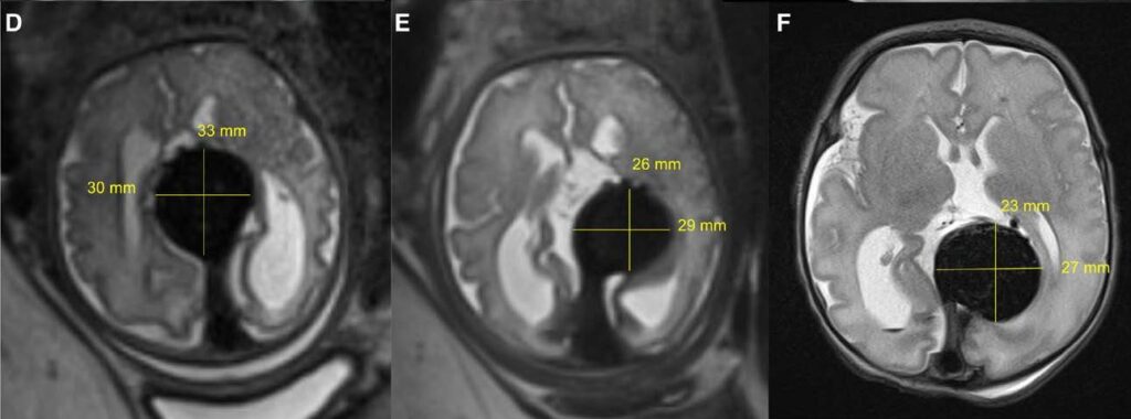
Снимки на мозъка на бебето, показващи размера на аномалията в хода на нейното свиване. От ляво надясно: преди емболизация, непосредствено след нея и непосредствено след раждането на бебето. (Orbach et al., Stroke, 2023)
Затова Орбах и колегите му предприемат клинично проучване, за да проверят възможността за лечение на състоянието преди раждането. Техният пациент е плод на 34 седмици и 2 дни (пълният термин е около 40-та седмица) и те използват ултразвук, за да се ориентират при извършване на процедурата по емболизация.
Два дни по-късно бебето се появява на белия свят, тъй като процедурата довежда до преждевременно разкъсване на мембраните в матката. Въпреки това сърдечно-съдовата му система, изглежда, функционира нормално и то не се нуждае от допълнителна подкрепа или операция. Тъй като раждането е било преждевременно, бебето е трябвало да остане в отделението за интензивно лечение в болницата в продължение на няколко седмици, като през това време лекарите са продължили да наблюдават мозъка му.
Те не забелязали никакви признаци на неврологична неизправност, натрупване на течности или кървене и майката и бебето получили разрешение да се приберат у дома.
Тъй като това е първият пациент в рамките на текущо клинично изпитване, техниката далеч не е готова за широко приложение. Един успешен случай не е достатъчен, за да се установи модел на успех. Бъдещите случаи може да не протекат толкова гладко; дали ползите надвишават рисковете от процедурата, предстои да се установи.
"Както винаги, ще трябва да се извършат и проследят редица такива случаи, за да се установи ясен модел на подобрение както на неврологичните, така и на сърдечносъдовите резултати", казва кардиологът Гари Сату от детската болница „Матъл“ в Калифорнийския университет, който не е участвал в проучването. "По този начин националното клинично изпитване ще бъде от решаващо значение за постигането на адекватни данни и, надяваме се, на успешни резултати."
Резултатите обаче са много обещаващи. Към момента на писане на статията бебето продължава да се развива добре, което предполага, че поне за някои пациенти пренаталната операция може да се окаже спасителен пояс.
"Макар че това е само първият лекуван пациент и е жизненоважно да продължим проучването, за да оценим безопасността и ефикасността при други пациенти, този подход има потенциала да промени парадигмата при лечението на малформацията на вената на Гален, при която ние я отстраняваме преди раждането и предотвратяваме сърдечната недостатъчност, преди тя да настъпи, вместо да се опитваме да я лекуваме след раждането", казва Орбах.
"Това може значително да намали риска от дългосрочно увреждане на мозъка, инвалидност или смърт сред тези бебета."
Резултатите на екипа са публикувани в Stroke.
Източник: Science Alert













