В Турция се роди момченце без пенис
Лекарите в Турция съобщиха за случай на новородено момченце без пенис. Преди да сте казали (и вероятно е твърде късно) – не, не става дума за момиче.
Детенцето е прието на 1 ден в медицинския факултет на университета „Неджметин Ербакан“ и е диагностицирано с агенезия на пениса – т.е. половият орган не е успял да се развие по време на ембрионалния растеж. Това състояние е изключително рядко и засяга едно на 10-30 млн. раждания.
„Цялостната агенезия на пениса е рядка вродена аномалия на пикочно-полова система. Обикновено се асоциира и с други деформации – например на стомашно-чревния тракт, сърцето, както и на мускулите и скелета“, пишат авторите в Urology Case Reports.
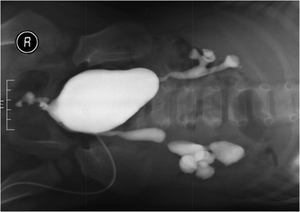
Въпреки че пенисът не е наличен, бебето има оформили се тестиси и скротум. При него обаче са наблюдавани и други проблеми, които обикновено не се срещат при пациенти с подобно състояние. Медицинският екип е открил везико-ректална фистула – анормална връзка между мехура и ректума. Бебето е имало и везико-ректален рефлукс - т.е. когато потокът на урината тръгне в грешна посока. Вследствие на това тя се е натрупвала в мехура му, което е изисквало хирургична намеса.
Лекарите смятат, че това е първият пациент, при когото са налични и трите проблема наведнъж.

Натрупване на урина в пациента. Източник: Urology Case Reports (CC BY-NC-ND 4.0)
След операция фистулата е коригирана, а с помощта на катетър пък урината е изведена от мехура. Детето идва на прегледи през един месец и засега е в относително добро здраве. Според лекарите „реконструцията на пениса би била добра алтернатива за този пациент“.
Хората с това състояние обаче могат да водят нормален живот. Миналата година 45-годишен мъж от Великобритания най-накрая загуби девствеността си, след като се снабди с бионичен пенис посредством фалопластика – хирургия, при която се взимат кожа, мускули и нерви от гърба и ръцете и с помощта на тях се оформя пенис.
Източник: IFLScience













