Учени създадоха слъзни жлези и ги разплакаха
Не е хубаво да разплаквате когото и да било, но ново изследване, което прави тъкмо това, би могло да помогне на хората, които принципно не могат да плачат.
За първи път учени създадоха в лабораторни условия слъзни жлези от човешки стволови клетки и дори ги разплакаха, буквално. Това е едно забележително постижение, което би могло да спомогне за създаването на терапии при лечението на проблеми, свързани със слъзните жлези, и същевременно представлява стъпка напред по отношение на регенеративните терапии.
„Надяваме се, че учените ще използват нашия модел, за да открият нови възможности за лечение на пациенти с проблеми със слъзните жлези – или като тестват нови лекарства върху органоидите на хората, или като разширяват здравите клетки и по този начин – ги подготвят за потенциална трансплантация за в бъдеще“, казва молекулярният генетик Ханс Клевърс от института „Хубрехт“ от Нидерландия.
Слъзните жлези, намиращи се в очната кухина точно над очната ябълка, отговарят за смазването и подхранването на роговицата. Ако нещо се обърка при тях, очите ви или ще бъдат твърде овлажнени, или болезнено сухи.
Сегашните лечения на сухотата в очите варира от капки за очи до хирургическа намеса (или при доста крайни случаи - капки за очи, създадени от собствената ви кръв). Като цяло обаче леченията са ограничени, най-малкото защото на този етап знаем съвсем малко за самите слъзни жлези, казват авторите на новото проучване. Ето защо те решават да променят това с помощта на слъзни жлези от човек и мишка.
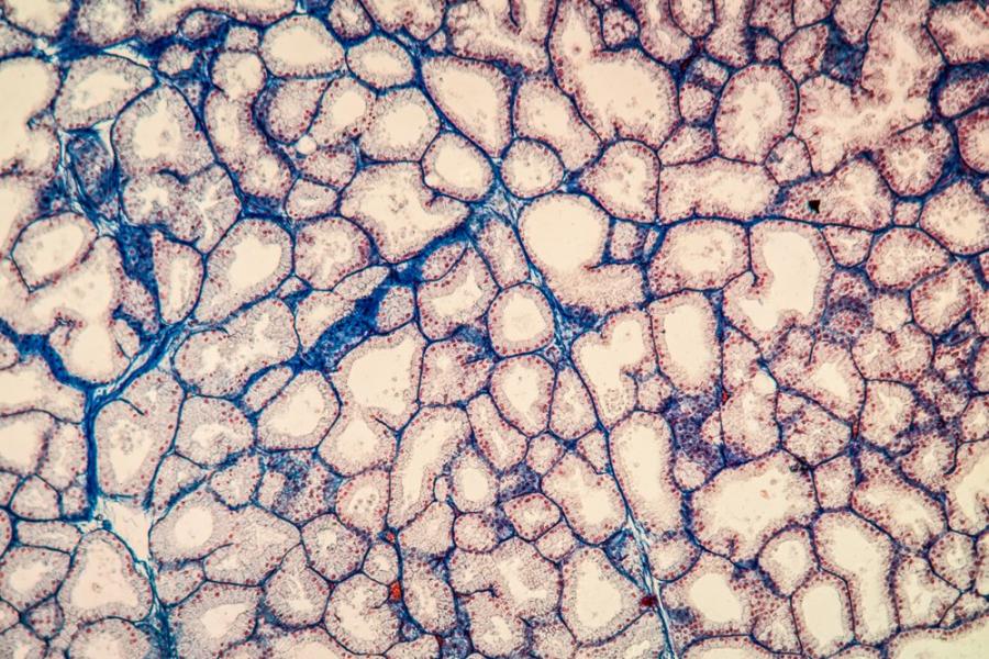
Първоначално създават слъзни органоиди (миниатюрни триизмерни структури, имитиращи функцията на целия орган) от плурипотентни стволови клетки. Дори в блюдо на Петри органоидите се развиват успешно и притежават структурите и функциите на целия орган.
За да накарат органоида да произведе сълзи, учените го излагат на норепинефрин (известен още като нораадреналин) – невтротрансмитер, който активира отделянето на сълзи. Както може да видите от записа по-долу, органоидите се надуват като балон, докато клетките отделят сълзи във вътрешността.

Плачещ органоид. Източник: Marie Bannier-Hélaouët/Hubrecht Institute
„Главното предизвикателство бе да накараме органоидите да плачат, тъй като това е основният белег на слъзните жлези – казва биологът Мари Баниер-Хелаует от института „Хубрехт“. – Трябваше да модифицираме коктейла от фактори, в който органоидите са отгледани, за да могат да се превърнат в зрелите клетки, които срещаме в нашите собствени слъзни жлези и които могат да плачат.“
Изследователите извършват иРНК секвенция, за да генерират атлас на клетките в слъзната жлеза. По този начин успяват да определят, че двата различни вида клетки – дукталните и ацинарните – произвеждат различните компоненти на сълзите, образувани в жлезата.
Впоследствие учените насочват вниманието си към органоидите от мишка. С помощта на CRISPR-Cas9 те изтриват ген, наречен Pax6 – той играе ключова роля в ембрионалното развитие на органите (включително на очите и слъзните жлези). След като Pax6 е вече отстранен, органоидите от мишка изгубват своята експресия спрямо невротрансмитерните рецептори, както и гените, свързани със секрецията, образуването на сълзи и ретинолния метаболизъм.
Интересното в случая е, че всички тези неща се срещат при хората, болни от синдрома на Сьорген – рядко автоимунно заболяване, което води до сухота в очите и устата (и в много крайни случаи – до слепота).
При пациентите, страдащи от синдрома на Сьорген, загубата на Pax6 се наблюдава и в конюктивата – лигавицата, която покрива предната част на очната ябълка (без роговицата) и вътрешните повърхнини на клепачите. Следователно въпросните органоиди биха могли да ни помогнат да научим повече за тази мистериозна болест и дори да открием методи за нейното лечение.
Най-накрая екипът решава да провери доколко слъзните органоиди са годни за трансплантация. Те взимат част от своите човешки слъзни жлези и ги трансплантират в слъзните жлези на мишката. За период от две седмици клетките успяват да се интегрират успешно към жлезата и дори да формират канални структури.
Те остават в жлезата най-малко два месеца. Някои от човешките клетки продължават да се развиват и делят два месеца по-късно и дори са произвеждали слъзни протеини.
Разбира се, трансплантацията на човешки слъзни жлези е в своя зародиш. Нужни са още изследвания върху живи животни, за да се уверим, че са напълно безопасни за хора. А това е процес, който би могъл да отнеме години.
Изследването е публикувано в Cell Stem Cell.













