Депресията променя структурата на мозъка
Депресиите са широко разпространени състояния и точно през студените зимни месеци, когато денят е по-къс, много хора страдат от т.нар. сезонна депресия. Освен с тъжно настроение тя се характеризира с чувство на вътрешна празнота, както и с неспособност за вземане на решения, придружена от апатия и безнадеждност. Наред с психичните често възникват и соматични оплаквания като усещане за парализа, безсъние, безапетитие. Обикновено това състояние продължава до няколко седмици, но ако не се лекува, може да трае с години. Депресиите влияят не само върху психиката и субективните ни усещания; учените са доказали, че те могат да доведат до сериозни невроанатомични промени в мозъка.
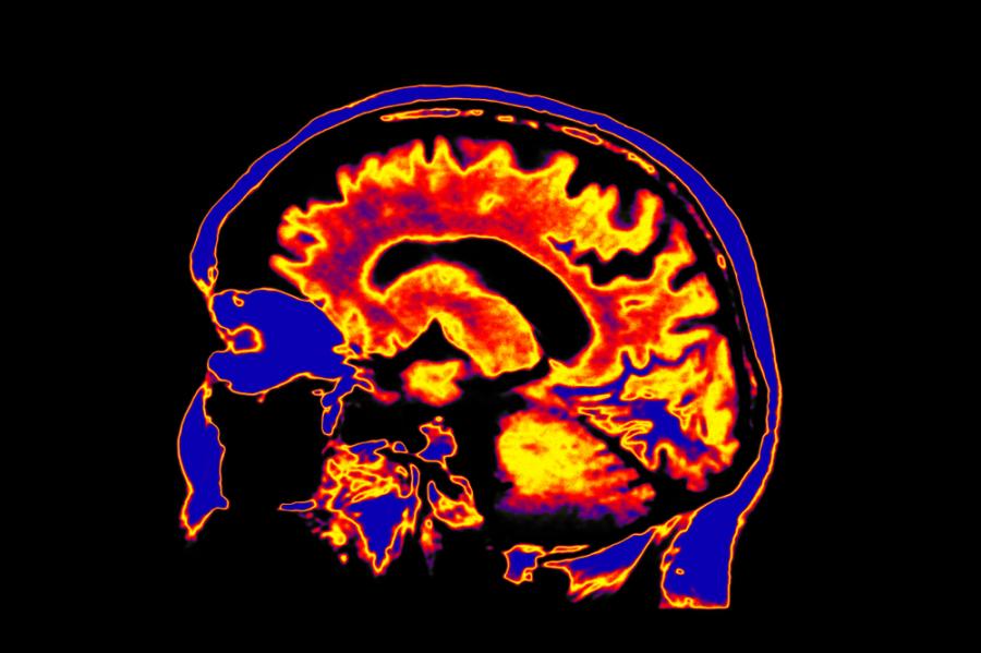
Отражение върху структурата на мозъка
Три участъка на мозъка играят съществена роля във връзка с депресията:
1. Хипоталамусът: Той е разположен близо до центъра на мозъка, съхранява спомените и регулира нивата на кортизола. Този стресов хормон се отделя най-вече когато тялото или психиката е под стрес, но също и при депресии. Ако въз основа на този химичен дисбаланс се освободят прекалено големи количества кортизол, това може да окаже трайно въздействие върху мозъка. Защото когато стойностите му са повишени, производството на мозъчни клетки може да се забави, в резултат на което се влошава способността за запомняне и се появяват проблеми с паметта.
2. Префронталната кора: Тя се намира в челната част на мозъка и отговаря за регулирането на чувствата, за вземането на решения, за спомените и за възпроизвеждането на преживявания. Също както при хипоталамуса, прекомерното отделяне на кортизол може да доведе до атрофия на предно-челната кора.
3. Амигдалата: Амигдалата – или бадемовидното тяло – отключва емоционални реакции като страх, радост или желание. При депресия увеличените нива на кортизола предизвикват повишена активност и уголемяване на бадемовидното тяло. Тази хиперактивност, с участието и на други участъци от мозъка, води до нарушение на ритъма сън/будно състояние. Прекалено активната амигдала може освен това да причини секретиране и на други хормони, което на свой ред създава хормонален дисбаланс.













