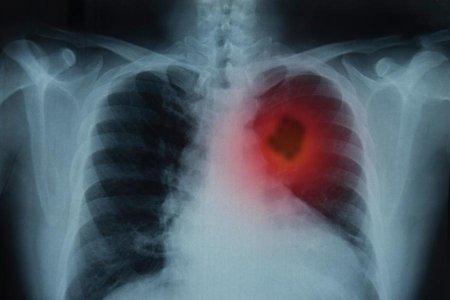
Ракът на белия дроб е сред петте най-често срещани видове рак
Ракът на белия дроб е сред петте най-често срещани видове рак в страната както сред мъжете, така и сред жените. Това сочат последните данни на Световната здравна организация (СЗО) от 2020 г. Проучване на Международната агенция за изследване на рака показва, че за същия период новодиагностицираните случаи на рак на белия дроб в България са 4300 – 5.6% от новодиагностицираните в Европа, а смъртните случаи са 3609, предава БНР. Данните бяха представени при откриването на втората за тази година Национална конференция по онкология на тема: „Карцином на бял дроб. Малигнен меланом”, организирана от Българското онкологично научно дружество.
Конференцията се провежда в навечерието на Международния ден за борба с тютюнопушенето, за да напомни, че именно активните пушачи са в най-висок риск от развитие на рак на белия дроб.
Според последния доклад на Европейската комисия относно здравния профил в България от 2017 г. разпространението на тютюнопушенето сред българското население е най-високото в Европейския съюз и с близо 7% над средното за ЕС. 28% от възрастното население, включително повече от един на всеки трима мъже, са ежедневни пушачи. Равнището на тютюнопушене при младежите е също толкова високо, нареждайки ни на второ място в ЕС при 15-годишните момчета и на първо място при 15-годишните момичета, от които 30% са редовни пушачи.
1/3 от смъртните случаи вследствие на онкологични заболявания в световен мащаб се дължат на тютюнопушене, висок индекс на телесна маса, прекомерна консумация на алкохол, неподходящ хранителен режим и липса на физическа активност.
„Малко хора си дават сметка, че около 40% от раковите заболявания могат да бъдат предотвратени чрез мерки за превенция и ранно откриване. Това е и една от основните цели, залегнали в Европейския план за борба с рака, която ще се опитаме да репликираме и надявам се реализираме успешно на територията на България като част от Националния противораков план“, сподели проф. д-р Асен Дудов, председател на Българското онкологично научно дружество.
В началото на годината Българското онкологично научно дружество и асоциираните към него членове официално започнаха активна работа по изготвяне на предложение за Национален противораков план със съдействието на Националния онкологичен алианс. Основната цел на проекта е да се подкрепи въвеждането на Европейския план за борба с рака, като се адаптира за нуждите на страната ни.













