Най-мощният апарат за ядрено-магнитен резонанс в света е готов да разкрие тайните на човешкия мозък
Най-мощният в света апарат за ядрено-магнитен резонанс направи първи изображения на човешкия мозък и вече е готов да даде по-добра представа за неговото функциониране, както и за някои невродегенеративни и психиатрични заболявания, предаде АФП.
През 2021 г. изследователите във френския научен институт CEA бяха решили да прекратят работата си, преди здравните власти да дадат зелена светлина за изследване на хора.
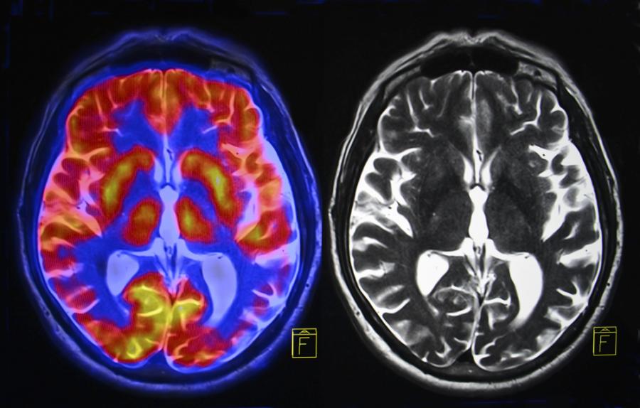
В последните няколко месеца около двадесет здрави доброволци успяха да стигнат до машината, която направи първите изображения на мозъците им, пише БТА. Подобно ниво "никога не е постигано в CEA", казва Александър Виньо, физик и директор на научните изследвания в института.
Магнитната индукция достига 11,7 тесла, което дава възможност да се получат десет пъти по-прецизни изображения от тези в болниците, където мощността на магнитно-резонансните скенери не надвишава 3 тесла.
"С тази машина можем да видим малките съдове, които захранват черепната кора, или детайли от малкия мозък, които досега бяха почти невидими", коментира Виньо.
"Това първо постижение в света ще ни позволи да откриваме и лекуваме по-добре мозъчните заболявания", каза министърът на научните изследвания Силви Рьотайо в изявление за АФП.
Машината представлява 132-тонен магнит, разположен в цилиндър с дължина 5 метра и същата височина, съставен от намотка с ток от 1500 ампера. Тя има отвор с ширина 90 см, в който може да се побере човешко тяло.
Това техническо постижение, резултат от френско-германско партньорство, изисква повече от 20 години изследвания.
Една от целите на този необичаен ядрено-магнитен резонанс е да се подобри разбирането ни за анатомията на мозъка и областите, които се активират при изпълнението на определени задачи, отбелязва АФП.













