Ето как се отразява канибализмът на човешкото тяло
За много култури канибализмът е едно от най-тъмните табута. Отвъд социалната стигма обаче яденето на хора се характеризира с една странна (и забележителна) опасност.
През 1961 г. младият австралийски медицински изследовател Майкъл Алпърс заминава за Източните височини в Папуа Нова Гвинея, за да съчетае две от най-големите си страсти – медицината и приключението. Именно тук той започва да проучва мистериозното състояние, от което хората от племето форе, живеещо дълбоко в планините и практикуващо канибализъм, страдат.
„Тялото се изяжда както от любов, така и от гастрономическо естество“, пише Алпърс в един от своите медицински текстове, посветени на форе.
Племето нарича това състояние „куру“. Всяка година то убива до 200 души от племето – често при доста странни обстоятелства. Началните симптоми са треперене и неспособност за работа. Болният губи контрола върху телесните си функции, обзема го депресия, става емоционално нестабилен и често изпада в истеричен смях. Когато новините за това заболяване достигат запада, медиите го наричат „смеещата се смърт“.
Племето форе смятало, че става дума за ужасно проклятие, но Алпърс е искал да открие научно обяснение за случващото се. Интересното в случая е, че изглежда състоянието не се причинявало от вирус, бактерия, гъби или паразит. Още по-странното е, че то сполетявало само жените и децата.
Учените започнали да се чудят дали „смеещата се смърт“ няма нещо общо с погребалния ритуал, характерен за племето и включващ канибализъм. Тази практика включвала само жените и децата, които ядели мозъците, докато мъжете – само плътта.
В интервю за списание Cosmos от април 2016 г. Алпърс обяснява: „Аргументът за канибализма (не използвам повече този термин, но по онова време си служех с него) – беше наистина неустоим. Всичко си пасваше.“
„Защо само жените и децата хващат това заболяване? Защото те са извършвали ритуала, а не мъжете. Това обяснява и защо болестта постепенно изчезва при младите деца – защото австралийските патрулиращи полицаи забраняват канибализма. Човек би могъл да заключи също така, че заболяването не се предава вертикално от майка към дете.“

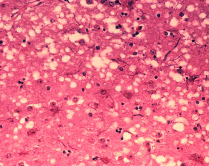
Микроскопичните „дупчици“ са една от ключовите характеристики на тъкани, засегнати от прионите. Източник: Dr Al Jenny/Public Health Image Library, APHIS / Wikimedia Commons
През 1966 г. Алпърс и останалите учени достигат до заключението, че кури не се предизвиква от вирусна инфекция, бактериално заболяване или генетични проблеми, а от един странен инфекциозен агент, наречен прион. Това откритие проправя пътя на Барук Самюъл Блумбърг и Даниел Карлтън Гадждусек да грабната Нобела за психология или медицина през 1976 г. заради „тяхното откритие, свързано с новите механизми и произхода и разпространението на инфекциозните заболявания“.
Прионите са нормални протеини, които се изкривяват и преминават към „тъмната сила“. Тези инфекциозни агенти губят фикциите си и придобиват способността да превръщат нормални протеини в приони. Т.е. стават инфекциозни.
Някои от най-популярните заболявания, предизвикани от приони, са болестта на лудата крава, както и нейната човешка алтернатива – тази на Кройцфелд-Якоб. Тези две дегенеративни заболявания на мозъка приличат особено много на куру. Смята се, че болестта на лудата крава най-вероятно е вследствие от факта, че кравите ядат рециклирани карантии и мозъчни тъкани на други крави (досущ като куру).
С други думи – яденето на човешки мозък не е най-добрата идея (дори и като изключим факта, че можете да прихванете един куп предавани по кръвен път заболявания – от ХИВ и хепатит до E.coli и ебола). Изследване обаче, публикувано в Nature през 2015 г. установява, че хората от племето форе, които редовно са яли мозъци, са развили резистентност към ефектите на прион – откритие, което би могло да позволи на учените да разберат повече за дегенеративните мозъчни заболявания (като например това на лудата крава, на Кройцфелд-Якоб, както и някои форми на деменция).
Източник: IFLScience













