Мъж откри, че има три бъбрека
Съвсем наскоро 38-годишен мъж от Сао Пауло, Бразилия откри, че е роден с три бъбрека, след като получи резултатите от скенер, направен във връзка със силни гръбначни болки. Неговият случай е описан подробно в The New England Journal of Medicine.
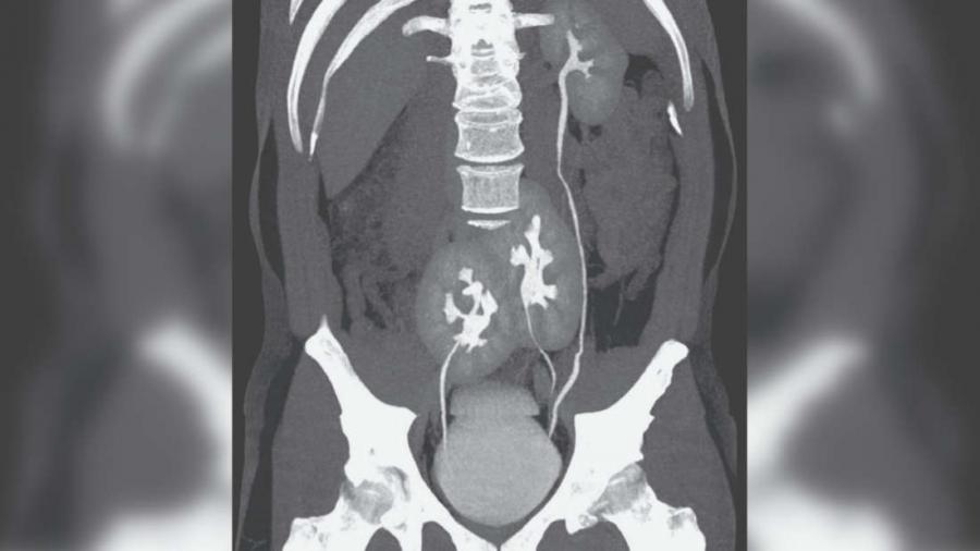
Левият му бъбрек е абсолютно нормален, докато в дясно откриваме два слели се бъбрека.
Уретерът – тръбите в тялото, които пренасят урината от бъбреците към пикочния мехур – от левия бъбрек се свързва с уретера с левия бъбрек от двойката на входа към мехура. Същевременно уретерът на десния бъбрек влиза в мехура от дясната страна.
„Никога досега не бяхме виждали подобно нещо – коментира д-р Ренато Форесто, един от участниците в изследването. – Изненадата бе огромна. Същевременно имахме сериозни опасения дали всичко е наред със здравето на пациента.
Колкото и странно да изглежда, състоянието не се отразява отрицателно на здравето на мъжа. Кръвните тестове показват, че бъбреците работят нормално и цялостното му здравословно състояние (с изключение на болките в гърба, които са вследствие от дискова херния) е добро.
„Неговата бъбречна функция… бе напълно нормална“, допълва д-р Форесто. Според лекарите необичайното му състояние най-вероятно е възникнало по време на ембрионалното развитие, когато примитивните и подобни на бъбреци структури се разделят на две. Въпреки че е изключително рядко, подобно състояние е било документирано няколко пъти преди.
Източник: IFLScience













