8 ноември 1885 г. – Рьонтген се натъква на рентгеновите лъчи
На 8 ноември 1895 г. Рьонтген открива и документира електромагнитно излъчване, известно днес като рентгеново. Апаратът, създаден от Рьонтген за тази цел, е познат като рентгенов апарат. За това си откритие получава първата Нобелова награда за физика през 1901 г.
Той нарича лъчението Х-лъчи, тъй като тяхната природа е била непозната.
Роден е на 27 март 1845 г. в Ленеп, Германия, като единствен син на собственика на текстилна фабрика Фридрих Рьонтген и неговата съпруга Шарлоте Костанце.
Става професор по физика в Страсбург (1876 - 1879), след това - професор в Хесен и директор на Физическия институт (1879 - 1888). В периода (1888 - 1900) е професор по експериментална физика във Вюрцбургския университет. След 5 години е избран там за ректор на университета. В този град прави и голямото си откритие — Х-лъчите.
Следващите години (1900 - 1920) твори в Мюнхенския университет. Първата му научна статия е върху специфичната топлоемкост на газовете. По-късно публикува трудове, свързани с топлинната проводимост на кристалите и влиянието на налягането върху индекса на пречупване, преминаване на поляризирана светлина през магнитно поле и други.
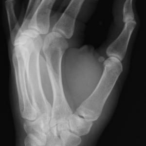
В началото на ноември той провежда опити с катодни лъчи в тръби на Ленард. Тръбата на Ленард е обвита в черна хартия, непропускаща видимата светлина, предизвиквана от катодните лъчи и излъчвана от областта около анода. Рьонтген забелязва, че намиращите се на известно разстояние от тръбата бариеви кристали светят в тъмнината. При изключено напрежение на тръбата кристалите не светели повече. Той поставя недалеч от тръбата екран, покрит с бариеви соли, които светвали всеки път, когато включвал напрежението и угасвали след изключването му. Ученият започва да експериментира с различни материали между тръбата и екрана. Картонът, хартията и ебонитът не влияели на яркостта на светене, докато металните предмети хвърляли сянка върху екрана. Той поставя дланта си на пътя на Х-лъчите и на екрана се появява изображение на костите. Меките тъкани обаче се оказват прозрачни за тях.
Статията му „За новия род лъчи“, в която описва свойствата им, е издадена като отделна брошура на всички европейски езици.
Много работи на Рьонтген са посветени на изследването на свойствата на течностите, газовете, кристалите, електромагнитните явления. Той открива връзката между електричните и оптичните явления в кристалите. Има славата на най-добрия експериментатор на своето време и създава школа по експериментална физика.













