Рентгеновите лъчи са открити съвсем случайно
Както повечето велики научни открития, и това се е случило по грешка, чиста случайност. Докато експериментирал една вечер в лабораторията си през 1895 година с катодни лъчи, германският физик Вилхелм Рьонтген станал свидетел на нещо необичайно. Забелязал необикновена зелен светлина, която преминавала през стаята и не идвала от катода, а от хартиена пластина, покрита с химикал.
Опитният учен веднага разпознал, че това са лъчи от някакъв друг произход, непознат до този момент, затова ги нарекъл „Х“ лъчите – неизвестни, непознати, мистериозни.
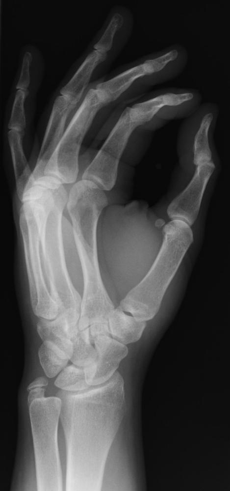
Съпругата му Анна Берта е първият човек, сдобил се с рентгенова снимка. Тя била на ръката й. Когато видяла снимката на скелетната кост, ужасената съпруга възкликнала: „Господи! Видях смъртта си!“
Апаратът, създаден от професор Рьонтген за тази цел, е познат и до днес като рентгенов апарат по името на своя „баща“. За това свое пионерско откритие получава първата Нобелова награда за физика през 1901 година.













