Мъж губи чувствителността в десния си крак и едва не умира заради гигантско изпражнение
През 2018-та лекари в Австралия спасяват живота на мъж, чийто запек довежда до парализирането на десния му крак.
53-годишният мъж е бил откаран в спешното отделение със силни стомашни болки, които са се увеличавали през последните три дни. Той е бил сериозно подут и му се е гадело. По-притеснителното в случая е, че десният крак го е болял изключително много, а през последните 24 часа дори не е могъл да го движи. Кракът не е имал доловим пулс и е бил студен на допир, пишат лекарите в BMJ Case Report.
Медицинската история на пациента показва, че той не е приемал наркотици и не е изложен на риск от сърдечно-съдови заболявания. Оказва се, че просто е трябвало да се изходи. Спешно.
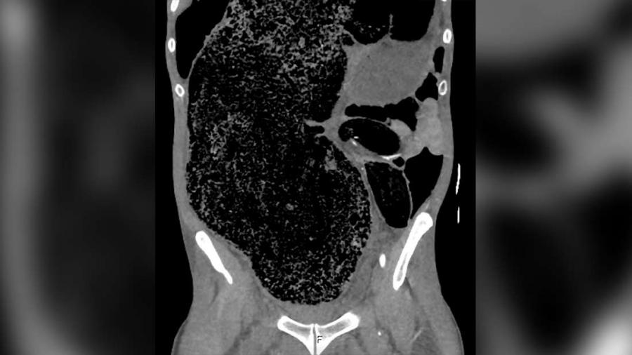
След преглед на ректума лекарите установяват, че мъжът е имал сериозен запек. Скенер на коремната кухина показва, че става дума за потенциално опасен за живота Синдром на коремното отделение (повишено налягане в коремната кухина).
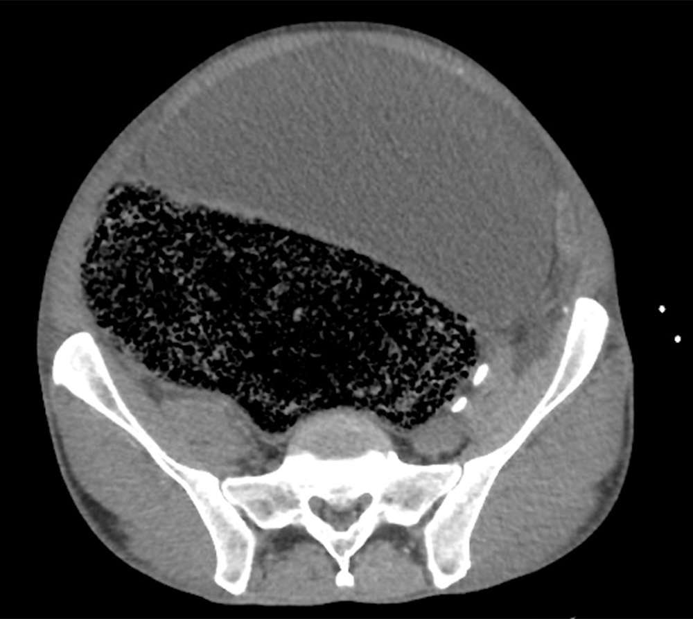
Изпражненията са се струпали до такава степен, че са разширили голямото черво и са оказали силен натиск върху неговата дясна вътрешна срамна артерия. Това налягане е предизвикало болката в крака и съответно е довела до парализата.
Поради сериозността на случая (мъжът е показвал признаци и на бъбречна недостатъчност и метаболитна ацидоза, т.е. бъбреците престават да отстраняват толкова много киселини от тялото), той веднага е откаран в операционната зала. Лекарите отстраняват натрупалите се изпражнения в тялото и облекчават налягането върху коремната област. Отстранени са приблизително 2 литра фекалии.
Мястото, където фекалиите са оказали натиск върху артерията. Източник: BMJ Case Reports.
След операцията мъжът започва да приема разхлабителни. Четири дни по-късно излиза от интензивното, но минават цели 13 дни, преди да може да ходи нормално.
Лекарите не са сигурни какво точно е довело до това масивно натрупване на изпражнения. Запек от подобен тип може да бъде изключително опасен. През 2015-та тийнейджърка с фобия от тоалетни умира, тъй като не се изхожда в продължение на 8 седмици. Натрупването на фекалиите компресира гръдната кухина до такава степен, че момичето загива от инфаркт. С други думи, ако и вие имате подобни проблеми, в никакъв случай не изчаквайте, а се консултирайте със своя лекар.
Източник: IFLScience













