Начинът на смях издава дали имаме рак на белите дробове
Специалисти от Американското дружество по онкология установиха, че ракът на белите дробове може да бъде разпознат по косвени признаци. И един от тях е смехът, предава Daily Express.
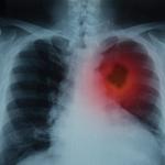
Болката в гърдите е сред най-разпространените симптоми на рак на белите дробове. И когато се смеем, тя се влошава. Това от своя страна може да е индикация за запушване в белите дробове - натрупване на течност, подути лимфни възли и оток. Експертите допълват, че болката може да се влоши и при дълбоко дишане и кашлица.
Кои са останалите често срещани симптоми? Според лекарите това са продължителна кашлица, кървене при нея, пресипналост, загуба на апетит, необяснима загуба на тегло, задух, чувство на умора или слабост, както и постоянно повторение на инфекциозни заболявания като бронхит или пневмония.
В случай на увреждане на други органи, пациентът може да изпитва болки в костите, неврологични симптоми - главоболие, изтръпване на крайниците, проблеми с равновесието, гърчове, както и пожълтяване на кожата и очите и подути лимфни възли.
Пациентът може да има и подути пръсти и стави. Човек може да изпитва слабост и замаяност, гърдите могат да се подуят, а също така може да има силна болка в рамото, която продължава към ръката.
Разбира се, голяма част от тези симптоми са присъщи и на други заболявания. Лекарите обаче подчертават, че колкото по-скоро се открие ракът, толкова по-вероятно е той да бъде излекуван.













