Мъж еякулира от ануса си в продължение на две години, преди да потърси помощ
Лекари документират един, по техните собствени думи, „любопитен случай на ректална еякулация“.
33-годишен мъж решава да потърси медицинска помощ, след като в продължение на 5 дни изпитва силна болка в тестисите. Оказва се, че това е само един от многото проблеми, които има в областта на гениталиите. През последните две години той е изхвърлял газове заедно със своята урина (пневматурия), уринирал е екскременти (фекалурия) и е изкарвал „значително количество“ урина и семенна течност през ректума си (това състояние е толкова рядко, че за него дори не съществува помпозен медицински термин).
Като цяло много преди да изпита болка в тестисите си, течностите, твърдите елементи и газовете не са преминавали през местата, през които принципно би следвало.
Екипът, който публикува своето проучване на случая в Cureus, установява, че пациентът има подути тестиси. Лабораторните тестове показват признаци на инфекция на пикочния канал, докато дигиталния преглед на ректума показва признаци на проблеми по стената на ректума.
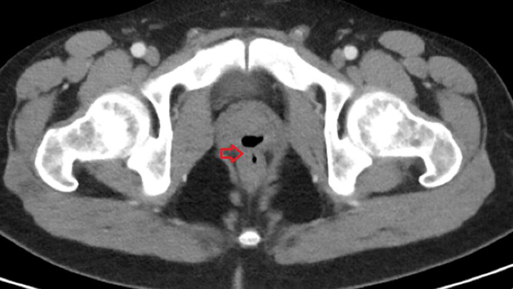
Компютърната томография най-накрая разкрива същината на проблема.
Източник: Cureus (CC by 4.0)
Лекарите откриват „пълна с газ структура“. Допълни тестове потвърждават присъствието на фистула (анормален канал) между пикочния канал и ануса. Именно оттук минават различните течности и твърди елементи. Докато поправя фистулата по хирургичен екип, екипът решава да потърси и потенциалните причини за появата на този проблем, но отхвърля варианти като туберкулоза, възпалително заболяване на червата, ректална травма или пенетрация.
След като проучват случая допълнително, лекарите установяват, че две години по-рано (горе-долу малко преди появата на симптомите) мъжът е бил в кома в продължение на 3 седмици след прием на кокаин и фенициклидин. По време на престоя в болницата си медиците му поставят катетър Фоли – именно това най-вероятно е предизвикало всички проблеми.
Историята има щастлив край.
„Повторната микционна цистография (VCUG) показва, че проблемът с фистулата е разрешен, а пациентът се е възстановил и през следващите няколко месеца е имало единствено умерено намален антеграден еякулаторен обем“, пише екипът.
Добре, казахме щастлив край, а не завършек, достоен за приказките. Екипът заключава, че макар катетрите Фоли да са наистина важни при лечението на някои пациенти, лекарите трябва да са наясно с потенциалните (и редки) усложнения, които могат да възникнат при употребата им.
Източник: IFLScience













