ЯМР показва как изглежда човешкият език по време на бийтобоксинг
Чудили ли сте се някога как точно изглежда езикът на човек, който бийтбоксва? Това невероятно видео ще ви покаже благодарение на чудото на магнитно-резонансната томография. Нещо повече – вероятно ще се изненадате, като видите колко голям всъщност е езикът (спойлър – много повече от онова, което виждате, когато си отворите устата).
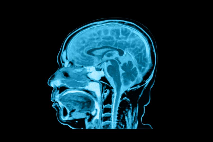
Наскоро д-р Марк Абът, докторант от Държавния медицински университет в Охайо, разказа в Twitter за среща със студент, изненадан от големината на човешкия език. По-конкретно – как изглежда при сагитално сечение (т.е. в случаите, когато тялото се разделя на лява и дясна секция) – това е възможно както чрез сканиране, така и при специална техника на дисекция.
За да разгледаме човешката глава по този начин например (особено ако пациентът е жив), можем да прибегнем до помощта на магнитно-резонансната томография (ЯМР). Чрез нея могат да бъдат създадени и някои наистина невероятни видео клипове, както и сами ще се убедите съвсем малко.
В публикация в Twitter, разказваща за разговора със своя студент, д-р Абът казва: „обзалагам се, че моят студент ще бъде не по-малко изненадан да види как изглежда по време на бийтбоксинг, защото аз определено бях, когато видях видеото за първи път.“.
Видеото показва как човек бийтбоксва, докато се намира в ЯМР – по този начин можете да видите как езикът се изкривява от една много по-различна перспектива. Невероятно е, нали?
Източник: IFLScience













