Пациентите с рядък вид астроцитом - тумор на неврона - имат по-лоша прогноза от очакваното
Екип от изследователи от Факултета по медицина към Университета в Нагоя съобщава, че пациентите с рядка форма на рак на главния и гръбначния мозък (IDHwt) имат лоша прогноза, подобна на най-злокачествените видове тумори на главния и гръбначния мозък. Техните открития, публикувани в списание Scientific Reports, сочат необходимостта от строги следоперативни грижи за пациентите с този вид тумор.
Глиомите са тумори, които произхождат от глиалните клетки, които обграждат невроните в мозъка. Под микроскоп глиомите могат да бъдат разделени на няколко вида в зависимост от вида на клетките, които засягат. Те включват астроцитоми, които, както подсказва името им, заразяват астроцити - важен вид неврони.
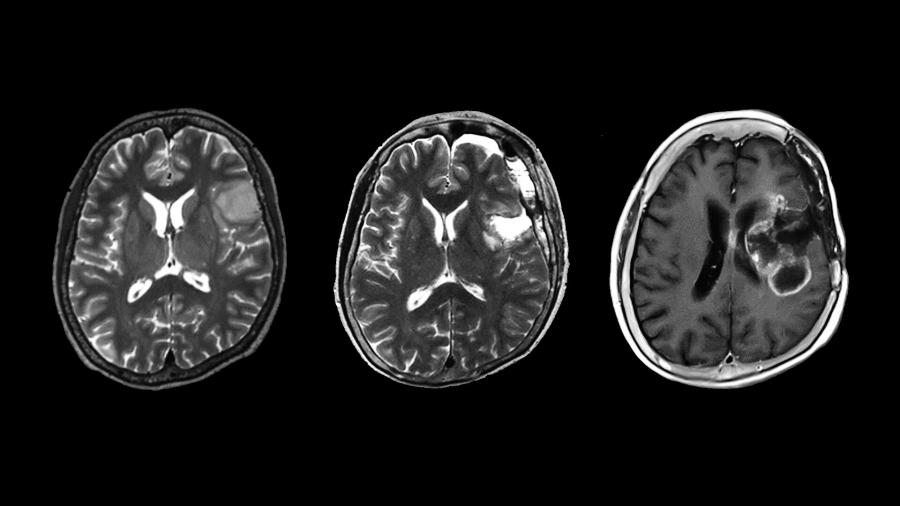
През 2016 г., за да се подобрят прогнозата и лечението на пациентите, класификацията на СЗО на туморите на централната нервна система включва нова класификация на дифузните глиоми въз основа на наличието или липсата на специфични мутации. Два редки вида дифузни астроцитоми са инфилтративните и локализираните дифузни астроцитоми с див тип изоцитрат дехидрогеназа (IDHwt). Тъй като те са толкова редки, липсва информация дали инфилтративните или локализираните характеристики влияят на прогнозата им и какво означава това за пациента.
Изследователският екип от Университета в Нагоя, ръководен от Юджи Кибе и Казуя Мотомура от Катедрата по неврохирургия, анализира локализираните IDHwt астроцитоми и установява, че всички те водят до злокачествени рецидиви и лоша клинична прогноза, подобна на тази при глиобластомите. Глиобластомите са сред най-злокачествените тумори, като средната им преживяемост е осем месеца, а по-малко от 7% от пациентите преживяват пет години.
Мотомура смята, че откритията на екипа са важни за лекарите и пациентите. "Всички тумори, които изследвахме, имаха мрачна прогноза въпреки мултидисциплинарното лечение", казва той. "За пациентите с глиоми резултатите от нашите изследвания трябва да доведат до поставяне на правилна клинична диагноза и лечение. За лекарите IDHwt астроцитомите трябва да се проследяват с голямо внимание дори след пълното им отстраняване. Трябва да се обмисли силна следоперативна терапия. Тъй като почти всички пациенти с дифузни астроцитоми се представят с рентгенографски образни находки, предполагащи локализирана туморна маса, лекарите могат да поставят погрешна диагноза на пациента с нискостепенен тумор вместо със злокачествен тумор; следователно нашите резултати предполагат, че лекарите трябва да обмислят възможността за такива тумори."
Източник: Medical Xpress













